Wow. Hello again readers of the blog. It’s been almost two weeks since my last update, and I want to acknowledge my longer-than-intended break. As per my last post, I had my follow up appointment on the seventh of May. At my follow up appointment, they found out that my bone did not heal correctly even with the screws put in.

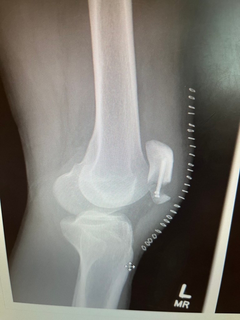
Of course, I saw this before I got told anything at my follow up appointment. The radiology technician opened the X-rays for my doctor to see, and he left it on this one for a split second and clicked off. Then left the room. Leaving me, puzzled and anxious for my doctor’s arrival, knowing that another surgery is coming. I couldn’t help but cry in the office when he officially told me he recommends another surgery the next day. Ultimately, I had no choice but to go with it. Without it, my strength and mobility would never be the same. I feel that I chose a fairly difficult route, as that meant the last two and a half weeks had been for nothing.
So, I got surgery the next day. My mom was a great help, she knew exactly what to do to guide me through this frustrating news. She drove me to the hospital the next day, stayed with me up until I went into the OR, and drove me to her house to crash on their couch. I was fed, housed, and cared for in a way that was really refreshing and I think set this new recovery off on a great foot.
The surgery details are messed up; this recovery has been way harder because of what they had to do, and my body already being through so much. My surgeon removed the smaller piece of my kneecap that didn’t heal onto the rest of my kneecap. So, he went the tendon route: he stitched my tendons to the rest of my bone through tiny holes in it, so the tendons can heal onto that larger piece of my bone. He still expects me to make a full recovery, which is good, but this is probably the easiest part of recovery I’ve been through. Up until a week after my surgery, I have been in constant pain, and doing things got physically harder. Even when I was hanging out with people or at home, I would be laying down or sitting down. Although I think this second surgery will be worth it in the end, it is going to be very difficult to get to that end: if there will ever be one.
My New Brace
As part of this new route to my recovery, my surgical team provided me not only with amazing drugs before, during, and after my operation, but a sleek, nice new brace to wake up to.

This brace hinges, and is soooooooo much sturdier than my old, nasty, velcro ridden previous brace. I kinda love it, and now I can walk more stable and confidently because of it. The only trade-offs are that I have to keep it on all the time, even when I’m just sleeping or chilling. I can take it off to shower and change my dressing, which is so nice and I am so grateful I retain a lot of my independence, hygiene, and dignity. It could be much worse, and this already sucks.
Sidetracking a little bit, I got to spend a lot of time with my family this past week. It was so great, as my younger brother graduated from high school with much distinction and profession. So, my extended family was out in Colorado with us celebrating my amazing younger brother. SHOUT OUT to him because even I learn from him despite being his older brother. He’s such a sweetheart and I know he’ll do so well in the world. Seeing my extended family was so great too; they were all pretty worried about me and all gave me comfort, advice, and wisdom to deal with all of this. Again, I was housed, fed, and comforted: it’s really all someone can be grateful for at the end of the day and keep in mind, at least for me. A highlight for the mini family reunion for me was seeing my younger cousin. She is 3 years old, and is so smart and sweet. Her mom and dad (my dad’s brother and his wife) are also so smart and so kind and so caring, and are raising another great addition to the family. In general, shoutout to my family for being such a great support system through this time.
One Month Thoughts
Today is my one month mark of dealing with this injury. One month ago today my life changed. And throughout this humbling month filled with learning, growing, frustration, achievement, and setbacks, there is one thing I’ve learned that gives me the most comfort: that I can decide how this has changed me. It’s my choice on if I physically take my health and recovery seriously or not, and if I learn and grow from this adversity. Ultimately, I want to come out of this a better person. There’s been times recently in my life I felt I’ve let people close to me down, as well as let myself down. There were areas in my life that were heading down a path of shortcomings. I think that I am taking this injury mostly as a time of reflection of who I want to be, and how can I start being the best I can be now. Being grateful and present in my emotions has been grounding, allowing me to be honest with myself and others about what I am feeling whether it’s good or bad. This injury has also given me more reason to trust those that are closest to me, and to really strengthen those relationships.
I want to share some goals of mine for my recovery from here on out.
- My first goal is to start PT as soon as I am cleared to. My next appointment is in less than a week from now, and I already feel more confident that this past surgery has actually fixed my injury. I want to do PT at least twice a week, as well as mobility exercises at home that I can do.
- Improve my diet. If any of you readers out there have great diets, HIT ME UP! I want some tips on how to maximize my diet. I’m going to try and include plenty of proteins and healthy fats and carbs to really help my body recover well, and maintain a good diet past recovery.
- This one is more of a post-recovery goal, but I will get into calisthenics weight lifting more seriously once I am out of physiotherapy to really maximize my strength, mobility, and range of motion and implement what I have learned in PT to keep all my joints healthy longterm.
These goals will come with time, as this is definitely a patient process. I will continue to take it one day at a time, focusing on the now and being grateful for what I can be. I will keep you all posted about what my doctor says and recovery from now on as well, as I still want to treat this as a journal/recovery diary. I feel that this is a great story of adversity and dealing with it, and again I hope I can share what I’ve learned from this with you all. Thanks for reading.
Leave a comment